Actualizada el 14 de Nov de 2021
¿Qué endometrial comprar?
¿Andas buscando doppler endometrial médicos y quieres encontrar los mejores? Encuentra aquí toda la información, singularidades y precios analizada por los mejores. En nuestra web hemos escogido para ti los 14 modelos MEJORES de la categoría, y hemos procurado las mejores promociones de internet a fin de que puedas hacer tu adquisición online más barata. Ve sobre seguro con nuestra lista de doppler endometrial, la mejor recopilación de internet con críticas, fotos y vídeos.
- Índice
- 1. Comparativa de los 14 mejores doppler endometrial médicos
- 9.1 SOBRESALIENTE
1. Mastering the DRCOG - 9.2 SOBRESALIENTE
2. Gynecologic Pathology: Practical Issues and Updates, An Issue of Surgical Pathology Clinics, 1e: Volume 12-2 (The Clinics: Surgery) - 9.4 SOBRESALIENTE
3. Biopsy Interpretation of the Uterine Cervix and Corpus (Biopsy Interpretation Series) - 9.6 SOBRESALIENTE
4. Biopsy Interpretation of the Uterine Cervix and Corpus (Biopsy Interpretation Series) (English Edition) - 6 APROBADO
5. Get Through MRCOG Part 2: Short Answer Questions - 5 APROBADO6. Eco-color-doppler vascolare (Specialità mediche)
- 5 APROBADO
7. Ecografia en patologia uterina y endometrial (incluye version digital) (incluye versión digital) - 5 APROBADO
8. Endometrial receptors mediate spheroids-endometrium attachment: Plexin B1, c-Met and Progesterone receptor A mediate spheroids-endometrium attachment - 5 APROBADO
9. Hormonal Pathology of the Uterus: 1242 (Advances in Experimental Medicine and Biology) - 5 APROBADO
10. Endometrial Gene Expression: An Emerging Paradigm for Reproductive Disorders - 5 APROBADO
11. Diagnostic Endometrial Pathology 2E - 5 APROBADO
12. Each Woman’s Menopause: An Evidence Based Resource: For Nurse Practitioners, Advanced Practice Nurses and Allied Health Professionals (English Edition) - 5 APROBADO
13. Early Pathologic Diagnosis Of Gynecologic Cancer Including A Clinician's View - 5 APROBADO
14. Marcadores de receptividad endometrial
Pertime a nuestros gurús la elección de uno de los mejores artículos de doppler endometrial médicos a la venta para que tú solo tengas que brindar tu tiempo a disfrutarlos. Hemos recopilado para ti los más cotizados, clasificados por la opinión de los compradores, con fotos, review y descripción tecnica.
Vídeo sobre endometrial
Además, puedes ver un vídeo sobre Patología Quirúrgica de los Tumores Epiteliales de Ovario que te facilitará mucho más en el momento de comprar doppler endometrial médicos.
Opinión de un comprador: Would recommend. I used this book along with 'Questions and answers' for Drcog and passed. You need to cross reference this book with the official curriculum as this book covers perhaps 90-noventa y cinco% of the curriculum so you need to use other resources as per the recommended reading for each section.
VER MÁS OPINIONES
Gynecologic Pathology: Practical Issues and Updates, An Issue of Surgical Pathology Clinics, 1e: Volume 12-2 (The Clinics: Surgery)
Opinión de un comprador: All the books in this series are really good
VER MÁS OPINIONES
Biopsy Interpretation of the Uterine Cervix and Corpus (Biopsy Interpretation Series) (English Edition)
Opinión de un comprador: Well written book, very useful in my everyday practice but a little bit essential and concise. Good quality images. I would suggest this book especially to residents and fellows interested in this field of pathology.
VER MÁS OPINIONES
Opinión de un comprador: A little out of date now but useful for exam practice- wealth of subjects covered with tips on tackling questions
VER MÁS OPINIONES
Opinión de un comprador: Anche se un po' datato rimane 1 dei libri con la più ampia trattazione del doppler. Consigliato.
VER MÁS OPINIONES
- Marca: Editorial médica panamericana s.a.
Endometrial receptors mediate spheroids-endometrium attachment: Plexin B1, c-Met and Progesterone receptor A mediate spheroids-endometrium attachment
- Marca: Lww
- Marca: Lww
Each Woman’s Menopause: An Evidence Based Resource: For Nurse Practitioners, Advanced Practice Nurses and Allied Health Professionals (English Edition)
¿Donde comprar endometrial?

Gracias a la llegada de internet comprar endometrial es más simple que nunca. Nuestros especialistas te aconsejamos elaborar tu búsqueda en el sitio web de Amazon por distintos aspectos, lo vas a recibir en casa seguramente al dia siguiente, los precios de transporte son no más de 4€, vas a tener cientos de referencias donde escoger y las grandes comodidades para efectuar un reembolso.
Si no te apetece la idea de realizar una compra desde Amazon, puedes investigar en otras tiendas en línea esenciales del campo, tal y como ejemplo Carrefour, Worten, Conforama, Ebay, Lidl, Etc.. Y si lo que prefieres es acudir a un local real, solamente con rebuscar en Google cualquier localidad de España, vas a observar lo sencillo que es hallar establecimientos en Alicante, Zamora, Extremadura, Málaga, etc, para comprar endometrial.
Amplía información con el siguiente vídeo sobre Ecografía Doppler | ¿Qué detecta la ecografía Doppler ginecológica?
¿Cuales son las mejores marcas de endometrial?

En la anterior comparativa hemos detectado que las mejores marcas de endometrial son Editorial médica panamericana s.a., Springer y Springer-verlag gmbh.
Para llegar a esta conclusión habremos analizado los 10 modelos más comercializados, hemos analisado opiniones y hemos sumando su score a las marcas con buenas reviews (tales como Editorial médica panamericana s.a. ,Springer ,Springer-verlag gmbh) y restando puntos a las marcas con comentarios negativos. Después de este detallado estudio, las marcas Editorial médica panamericana s.a.,Springer y Springer-verlag gmbh son las que poseen mejor consideración de los users, teniendo una nota intermedia de 8.6.
¿Cuál es el precio de endometrial?
Los precios para endometrial pueden oscilar entre los 196.31 € y los 2.69 €. Soliendo ser el precio medio en las tiendas de 94.9 €.
Doppler endometrial médicos, ¿exactamente en qué consiste una histerosonografía (ultrasonido del seno)?
El ultrasonido es fiable e imperceptible. Genera fotos de dentro del ser utilizando ondas de sonido. Las imágenes por ultrasonido también son famosos como estudio por ultrasonido o ecografía. Utiliza una pequeña cuerda llamada transductor y un gel que se pone de forma directa sobre la epidermis. Ondas sonoras de gran continuidad viajan desde la cuerda por medio del gel y había pasado adendro del cuerpo. La sonda recoge los sonidos que rebotan. Una computadora hace uso de esas mismas ondas sonoras para hacer una foto. Los exámenes por ultrasonido no utilizan luminiscencia como (como la cual se utiliza en los rayos x). Ya que Las fotos se capturan en el mismo instante, tiene la posibilidad de enseñar la estructura y el movimiento de los órganos internos del cuerpo. También pueden enseñar la sangre fluyendo por los vasos sanguíneos.
Las imágenes por ultrasonido es un estudio médico no invasivo que asiste para los médicos a determinar y utilizar condiciones médicas.
La histerosonografía, también popular como ecografía de disolución salina, es una manera de ultrasonido especial, mínimamente invasiva. Proporciona fotos del interior del seno de una mujer.
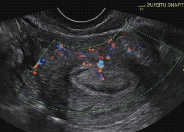
El ultrasonido doppler consiste en un solo modo peculiar de ultrasonido que valora la sangre mientras que recorre por los vasos sanguíneos.
Te dejamos aquí un gran vídeo de Repasando Preguntas de Ginecología
¿cómo se hace el procedimiento?
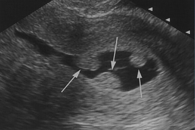
Procedimiento de ultrasonido transvaginal inicial generalmente se hace en primer lugar para ver el endometrio, o las paredes del seno, incluyendo su propia dimensión y toda excepción ovárica relacionada.
El examen por ultrasonido transvaginal se lleva a cabo en forma muy parecida a un estudio ginecológico. Esto supone la inserción de un transductor en la matriz después de que la paciente vació su bolsa. El fin del transductor es más reducido que la del espejo estándar que sirven para hacer una prueba de papanicolaou. Una cubierta protectora se coloca sobre el transductor, lubricada con una pequeña cantidad de gel y después se pone en la vagina. Solo un par de o 3 pulgadas del extremo del transductor se colocan en la vagina. Las imágenes se obtienen de diferentes orientaciones con el fin de conseguir los más especiales vistas del seno y los ovarios. El ultrasonido transvaginal a menudo se hace con la paciente acostada boca arriba, posiblemente con los pies en estribos en forma parecida a un estudio ginecológico.
La ecografía doppler también puedes hacer a través del transductor transvaginal. Vea la página de ultrasonido pélvico para más instrucciones.
La histerosonografía se hace como un estudio a fondo de las anormalidades y sus probables causas. Saber la ubicación de determinadas anomalías, como fibroides o pólipos, puede llegar a ser relevante al establecer un método o una estrategia para la enfermedad particular de la tolerante.
Después del estudio inicial, se retira la sonda transvaginal y se introduce un espéculo inútil mientras que usted está boca arriba con las rodillas flexionadas, o con los pies apoyados en estribos. Se limpia la cerviz y se introduce un catéter en la cavidad uterina. Una vez que el catéter se halla en su propio sitio, se retira el espéculo y se regresa a insertar la sonda transvaginal en el canal vaginal. Después se inyecta la solución mina por medio del catéter en la cavidad uterina a medida que se realiza el ultrasonido.

